esc

Please enter at least 2 characters in the search box

Searching...

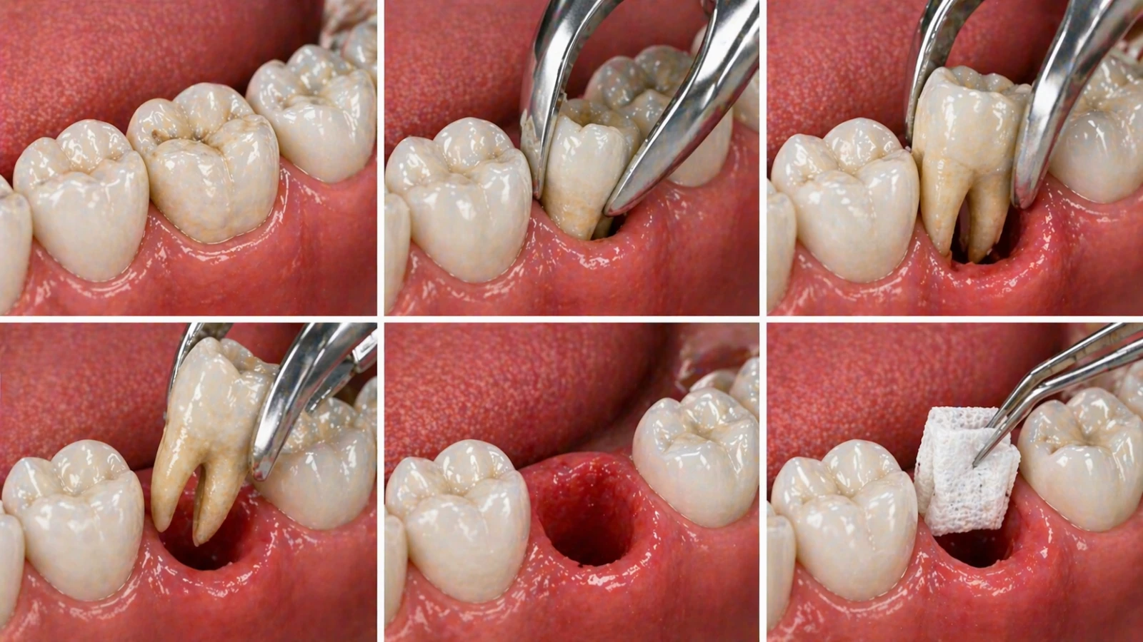
Tooth Extraction

Painless tooth and wisdom tooth extraction under local anesthesia at Emrivadent Antalya. Book your safe and comfortable extraction appointment.

Tooth Extraction
Tooth Extraction

Tooth extraction is the removal of a tooth that cannot be treated, or a wisdom tooth, from the mouth under local anaesthesia using a surgical or simple technique. At Emrivadent, painless and complication-free tooth extraction is carried out simultaneously with implant planning when necessary.

When Is Tooth Extraction Required?

  • Teeth with advanced decay where root canal treatment has failed
  • Fractures or cracks extending to the root
  • Excessively mobile teeth as a result of periodontal disease
  • Creating space before orthognathic surgery
  • Unerupted or impacted wisdom teeth
  • Gaining space in orthodontic treatment

Types of Tooth Extraction

TypeMethodDurationRecovery
Simple extractionWith forceps5–15 min3–5 days
Surgical extractionWith flap elevation20–40 min5–7 days
Wisdom tooth extractionSurgical (usually)30–60 min7–10 days

Post-Extraction Care Instructions

  1. Bite on gauze for the first 30–45 min to support clot formation.
  2. Avoid hard foods, hot drinks and smoking for the first 24 hours.
  3. Prefer soft cooked foods (yoghurt, soup).
  4. Do not disturb the extraction site with your tongue or fingers.
  5. Apply an ice pack for swelling (20 min on, 20 min off).
  6. Take prescribed antibiotics and painkillers as directed.

What Is Dry Socket (Alveolitis)?

A painful complication in which the blood clot at the extraction site is lost, exposing the alveolar bone. Risk factors include smoking, sucking movements and inadequate clot formation. Emrivadent applies a clinical dressing and analgesic protocol for dry socket cases.

Tooth Extraction at Emrivadent

Emrivadent operates on the principle of saving the tooth first, avoiding unnecessary extractions. In inevitable extractions, same-session implant planning and socket preservation grafting can be performed.

Frequently Asked Questions

Tooth Extraction FAQ

Find answers to your questions here

With local anaesthesia, no pain is felt during extraction; only a feeling of pressure is normal. Pain may occur for 24–48 hours after the anaesthesia wears off; it is easily managed with the prescribed painkiller.
A fully erupted wisdom tooth can be extracted in 15–30 minutes. An impacted or horizontally positioned wisdom tooth is removed surgically; this procedure can take 30–60 minutes and recovery takes 7–10 days.
After the anaesthesia has completely worn off (approximately 2–3 hours), soft foods can be started. Hot, hard and spicy foods should be avoided for the first 24 hours. Yoghurt, soup and mashed foods are safe options.
The gap left by an extracted tooth should be closed as soon as possible. Options: dental implant (most ideal), fixed bridge or removable partial denture. An untreated gap causes neighbouring teeth to drift and jawbone resorption.
Dry socket (alveolitis sicca) is the exposure of the bone surface when the blood clot at the extraction site dislodges; it causes severe pain. To prevent it: avoid smoking, avoid using a straw, avoid vigorous rinsing for 24 hours, and avoid touching the extraction site with your tongue.